Preparative disk gel electrophoresis for antigen preparation
Preparative disk gel 電気泳動を用いた抗原精製
| 動物や植物由来のタンパク質は、大腸菌内で封入体として発現することがあります。抗体作成の際、この封入体から抗原を精製し、用いることがあります。この際の簡易精製法として、封入体をTriton X-100などの界面活性剤で洗浄して用いることがあります(ref.1)。ただし、組換えタンパク質の発現量によっては大腸菌由来タンパク質の混入により精製度が充分でないこともあります。そのような場合、界面活性剤で洗浄した封入体をPreparative disk gel 電気泳動で精製することが有効です(ref.2)。 以下にこの方法の特徴を述べます。 1.Preparative disk gel 電気泳動は、高い分離能で目的タンパク質を分取できます(実験例参照)。 2.回収される精製組換えタンパク質は、SDS sample bufferに可溶な状態で回収できます。高濃度で溶出できるため、濃縮することなく、そのまま抗原として使用できます。 3.1つのゲルで数mg~数十mgのタンパク質を分取できます。これは、ウサギポリクローナル抗体作成のための抗原として十分なタンパク質量です。私たちはPreparative disk gel electrophoresisに、以下の装置を使用しています(※)。 4.この装置は、電気浸透ポンプ(electroosmotic medium pump)という原理でタンパク質溶液の溶出を行うので、他のディスクプレパラティブ電気泳動装置(Model 491 Prep Cell (Bio-rad)など)と異なり、ペリスタポンプを必要としません。また、装置の価格も良心的です。 |
||||
| ref. 1) Harlow, E. and Lane, D., Antibodies: a laboratory manual (1988), CSHL press. ref. 2) Okegawa, Y., Koshino, M., Okushima, T. and Motohashi, K., Protein Expr. Purif. vol.118, 77-82 (2016) ---------------------------------------------------------------------- |
||||
| 詳細は、以下の文献を参照ください。 ref.2 Yuki Okegawa, Masanori Koshino, Teruya Okushima and Ken Motohashi "Application of preparative disk gel electrophoresis for antigen purification from inclusion bodies" Protein Expr. Purif. 118, 77-82 (2016) |
||||
![]() |
||||
| 実験例 1) ・Acetyl-CoA carboxylase (~50 kDa) ・Preparative disk gel電気泳動を用いてAcetyl-CoA carboxylase を封入体(Triton X-100洗浄済)から精製した。Acetyl-CoA carboxylaseは後半に溶出し、大腸菌由来タンパク質を除去できた。この方法で精製したAcetyl-CoA carboxylaseを抗原として用いることで、Acetyl-CoA carboxylase特異的抗体を作成することができた (ref. 2)。 |
||||
![]() |
||||
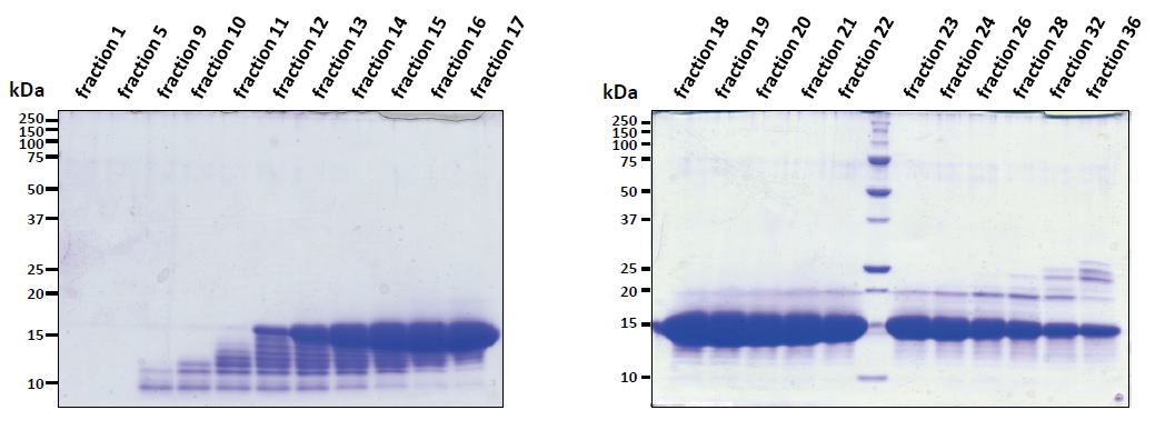
| 実験例 2) ・~15 kDa. ・Preparative disk gel 電気泳動を用いて、~15kDaタンパク質から大腸菌由来タンパク質を除去できた。 |
||||
![]() |
||||
![]() |
||||
| Preparative disk gel electrophoresis for antigen preparation (in English) |
![]() |
||||
| Return to "Technical tips" | ||||
| E-mail: |




